Invisalign
Here at Leslieville Dentistry, we use Invisalign ® treatment as the clear aligner therapy of choice due to its global brand recognition and well developed software technology that is backed by years of robust research.
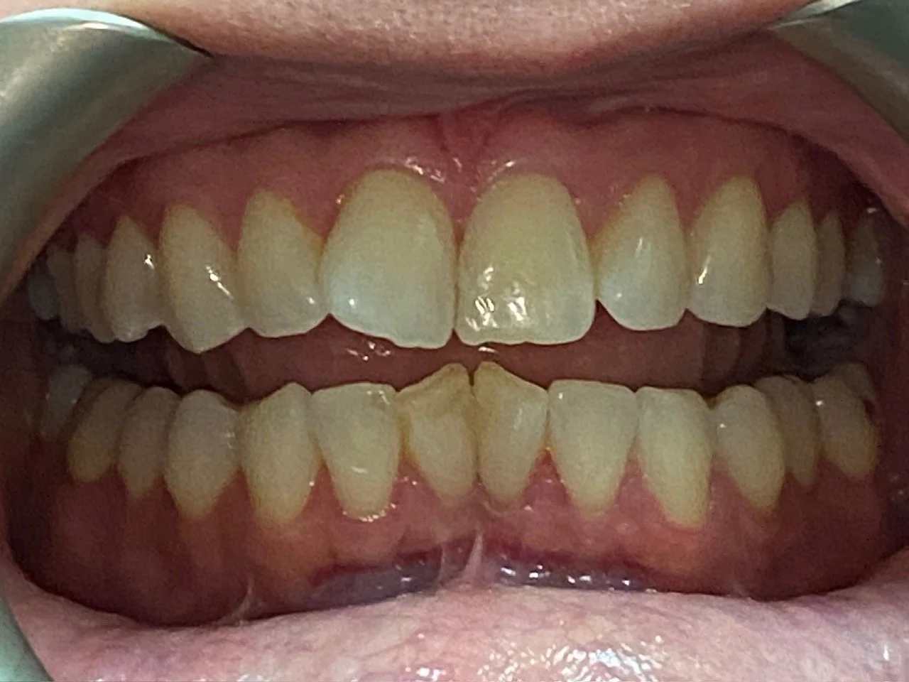
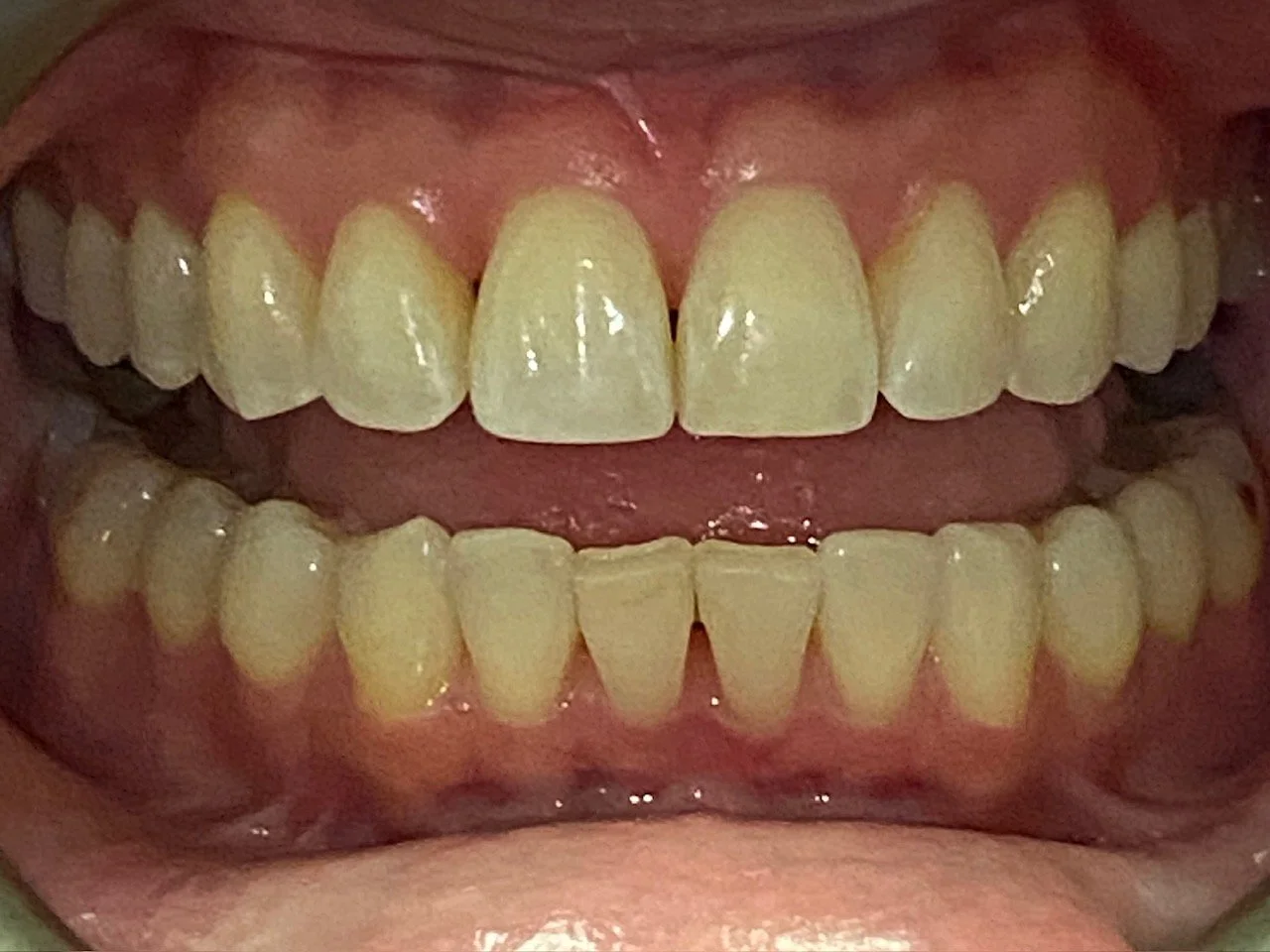
Invisalign #1--Before. My first Invisalign ® case involved a simple spacing case
Invisalign #1--After. The end result was extremely gratifying for my first foray into the world of clear aligner therapy
Invisalign #2--Before. This patient wanted to million dollar smile for her upcoming nuptials.
Invisalign #2--After. Every time I see her wedding photos and in person, I can't help but marvel at the transformation.
Invisalign #3--Before. This was an early case that really got me excited about the possibilities of Invisalign. He was a handsome guy who had some crowded lower teeth and accompanying gum issues.
Invisalign #3--After. Not only does he now have a million dollar smile after more than 10 years, the gum issue also resolved with the straightening of his teeth. One of my proudest moments for sure!
Invisalign #4--Before What this patient hated the most about her teeth was the lower incisor that pointed inward and cast a shadow whenever she smiled. What she didn't notice was the "omega" shaped upper arch where the front of the arch is pointy and the outside edges of the canines are flared out.
Invisalign #4--After This patient not only had her pesky lower incisor moved back into the arch, her upper arch is now much more rounded, resulting in a wider and fuller smile. This is why whenever a patient asks me if they can only fix one arch, I always tell them that treating both arches will give them a better result, even if it's not as noticeably misaligned at first.
Invisalign #5--Before. This patient was always self conscious of her smile due to the rotated central incisors.
Invisalign #5--After. She was initially given a comprehensive orthodontic plan, but ultimately decided what mattered most to her was how her front teeth looked. In the end, even with limited treatment, the result improved her alignment significantly, and she is over the moon about being able to smile confidently now.
Invisalign®, the Invisalign logo, and iTero®, among others, are trademarks and/ or service marks of Align Technology, Inc. or one of its subsidiaries or affiliated companies and may be registered in the U.S. and/or other countries.